“Dental Treatments in Pune | Prasad’s Dental Care – Advanced & Specialized Dentistry”

In FAQ s and articles

6 maintenance tips for long lasting veneers

Maintaining porcelain veneers isn’t very different from caring for natural teeth. A few simple precautions are all it should take to ensure that all stays well.

Healthy Gums and Teeth

Keeping your teeth and gums clean is very important. Treat them as you would your original teeth, with regular brushing and flossing.

Chewing & hard candies

Any extreme or angled force can cause porcelain veneers to crack or separate from the teeth. Be especially careful with foods such as dry fruits and chikki, and never chew on bones, hard candies, or similar items. We don’t recommend chewing gum or sticky caramel based items either.

Tooth Grinding / Bruxism

Grinding teeth puts a much higher amount of stress on the teeth than normal functional situations. If bruxism or clenching is a problem, we can fit you with a bite guard that you need to wear at night to take the pressure off your teeth and veneers.

Don’t Skip Any Appointments

Generally one week after the placement of your Veneers you will be asked to return to the dentist for a treatment evaluation. This visit allows your dentist to re-evaluate the bite, tissue response and any other questions you may have.

Regular six monthly maintenance, cleanings and dental check-ups are advised as well. This allows us to discover any sign of potential failure before the situation gets out of hand. It is mostly possible to remove stains or reattach a veneer that’s come loose, but if one should break or your gums recede, replacement is usually the only option.

LUMINEERS IN PUNE

A lot of celebrities have perfect teeth, but most of them were not born with perfect pearly whites. Lumineers can help you achieve the same bright, white smile without the method associated with traditional veneers. Both can be performed by cosmetic dentist and prosthodontist Dr Aditi Prasad in Pune.

Lumineers are a type of ultra thin dental veneer made up of a thin porcelain shell. They are bonded to your teeth to cover minor dental problems. The main difference is that ultra thin porcelain veneers are so fine that they can be bonded directly to the surface of a tooth without needing to trim it back first.

It is important to note that traditional porcelain veneers are irreversible. So, they are not ideal for patients with minor dental issues. Because lumineers are thinner than the traditional dental veneer, they require little to no roughening of the tooth surface. The best part is your teeth are not altered permanently and you also don’t need an anesthetic before grinding them down.

There are many benefits that lumineers can offer you:

  1. If you have a fear of needles, for example, then this option is ideal as it does not require anesthetic.
  2. One thing that makes ultra-thin laminates special as compared to conventional ones is that placing them doesn’t necessarily have to require any tooth preparation.
  3. They do not require temporary veneers to be worn. They can also give you the appearance of having straighter teeth.

DENTAL IMPLANTS OR DENTURES : WHAT S BEST FOR YOU

People need dentures and/or dental implants due to many reasons, including age, oral disease, injuries, etc. Thanks to modern technology, there are now many more options available when you’re considering long term dental work.

Two of the most common treatment options for missing teeth are dentures and dental implants. Dentures are false teeth, secured with denture adhesive onto gum tissues and supported by wires or clasps enveloping remaining teeth. Complete dentures might slip out of place while eating or speaking, which is embarrassing and uncomfortable, and partial dentures might promote infection and decay in other teeth if they aren’t fitted properly.

If your gums and jaw are healthy, dental implants are a worthwhile option that surgically places replacement teeth into the jawbone. With good oral hygiene, dental implants can last for 20 years or more. Dental implants are often a popular choice for people who have only a few teeth missing, though they can still be an alternative to dentures even if you have several missing teeth. Customizable treatment options using two or more implants can be used to secure and support wider denture bases to give more retentive and comfortable denture options as well.

Usually, conventional dentures are used after all teeth are removed from the mouth. Because the muscles in the mouth are learning to participate with a new set of teeth and an almost complete gum coverage with the supporting plate, the patient has a hard time finding comfort for a long time.

Dental implants look and function like real teeth and are much more stable, since they don’t rely on messy adhesives to stick to the gums. Dental implants are placed into the part of jaw bone that used to hold the roots of missing natural teeth. The implants over time will bond with the bone and form stable anchors for crowns or bridges. Dental implants restore your smile and the confidence needed to do the things that may hold back someone who wears a conventional denture.

WHY SEE A PROSTHODONTIST

Did you know that there are 9 different specialties of dentistry that all focus on separate areas of the mouth? With so many different types of dentists it is helpful to know who to go to and which type of doctor to talk to depending on your dental needs. Here are some of the reasons and solutions that should lead you to speaking to a prosthodontist.

What is a Prosthodontist?

Prosthodontics is a form of specialized dentistry practiced by a dentist who has completed general dentistry (BDS) plus at least three additional years of advanced training and education (MDS). A prosthodontist is highly trained in cosmetics, dental implants, crowns, bridges, dentures, temporomandibular disorders (TMJ/TMD), and more. They specialize in treating and handling dental and facial problems that involve restoring missing teeth and jaw structures.

Reasons to consider a Prosthodontist:

  • the appearance of your teeth or smile
  • the shape of your face
  • the comfort of your teeth or mouth
  • have missing teeth or teeth to be replaced, then you should speak with a prosthodontist.
  • Trauma,accident related, or cancer related tooth or facial structure loss needing esthetic and functional rehabilitation

Many dentists are described as cosmetic dentists but prosthodontists in particular extend their education so that it includes hands on training to match colors of teeth, correct misshaped teeth, and creating a finished smile that looks as natural and appealing as possible. Prosthodontists are trained in several methods for every type of tooth or smile design cases in order to meet the patient's wants and needs precisely.

DID YOU KNOW AN ORAL CANCER SCREENING IS INCLUDED IN YOUR DENTAL CHECKUP

Oral cancer originates in the area of the mouth, and is characterized by the appearance of malignant cells. Oral cancer screening can potentially detect oral cancer in stages early enough to give a patient the best opportunity to obtain treatment before the cancer spreads, increasing the potential for successful treatment.

Although oral cancer doesn’t typically receive the same attention as others, like breast cancer, it is still one of the most dangerous classified cancers. If you skip multiple trips to the dentist, you could be putting your oral health at risk of gum disease and even cancer.

Oral cancer can appear on your gums, lips, cheeks, tongue, the floor or roof of your mouth, and even the throat. What many people may not comprehend is your six-month checkup includes a basic oral cancer screening, so you can get checked regularly and catch it early.

Symptoms of oral cancer can include tenderness, redness and irritation, red or white patches, pain, lumps in your mouth, difficulty chewing, and the way your teeth are aligned. Make an appointment to discuss an oral cancer screening with your dentist as soon as possible.

ROOT CANAL TREATMENTS

Keep the text already there. Continue with-

A root canal is performed when the soft inner nerve part of a tooth, known as the pulp, is injured or becomes inflamed or infected.

The crown of the tooth — the part you can see above your gums — can remain intact even if the pulp is dead. Removing injured or infected pulp is the best way to preserve the structure of the tooth and increase it’s functional life.

Common causes of damage to the pulp include:

  • deep decay due to an untreated cavity
  • multiple dental procedures on the same tooth
  • a chip or crack in the tooth
  • an injury to the tooth (you might injure a tooth if you get hit in the mouth; the pulp can still be damaged even if the injury doesn’t crack the tooth)

The most common symptoms of damaged pulp include pain in your tooth, and swelling and a sensation of heat in your gums. Discoloration or graying of the tooth is also a sign.

CROWN AND BRIDGES

Dental crowns:
Ceramic dental crowns, or caps, can be an effective solution for restoring form and function to damaged teeth while also improving their appearance.

Once the design has been completed, your crown will be fabricated out of durable porcelain material and then secured to your tooth with strong dental cement. Through proper care and maintenance, your dental crowns can last for decades.

Dental bridges:
Dental bridges can be an excellent option if you are missing one or more consecutive teeth along your jaw line. Dental bridges are often supported on either side by natural teeth or implants, depending on your specific needs. Ultimately, this effective cosmetic and functional treatment can provide beautiful results while helping to improve speaking, chewing, and a variety of other problems associated with missing teeth.

Advantages:

  • Unlike dentures, a fixed bridge is never removed. It is stable in the mouth and works very similar to natural teeth.
  • By filling the gap and stopping the movement of other teeth, a fixed bridge is an effective investment, providing better chewing ability, heading off jaw joint problems and saving money that would otherwise might be spent on future dental treatment.
  • Dental bridges help you speak properly. During speech, your tongue pushes against the back side of your upper teeth to achieve proper pronunciation. Missing teeth can quickly affect the way you talk.

FULL MOUTH RECONSTRUCTION

A full arch rehabili­tation can provide the opportunity to eliminate present lack of function, inflamma­tion or aesthetic compromise. Advances in surgical and prosthetic components, implant designs, surface technology, and imaging techniques now allow for accelerated treatment times and reduced costs that benefit the patient.

Potential reasons for full arch rehabilitation might be:

  • To fulfill the desire to have healthy and beautiful looking teeth
  • Insufficient chewing functionality
  • Different former dental treatments of variable quality or multiple restorations of different colour.
  • Severe tooth damages caused by nutrition disorders like bulimia or gastro esophageal reflux disease
  • Tooth structure loss due to a lack of information about tooth protection and dental hygiene during childhood
  • The desire to correct misalignment or crowding of the natural dentition. finally due to a lack of orthodontic treatment during childhood

Full arch rehabilitations are complex and require meticulous treatment planning and a high expertise in various field of advanced dentistry. It is advised to choose only experienced dentists to ensure a predictable and excellent result.

ALL TYPES OF DENTURES

People lose teeth due to all sorts of reasons including illness, accident and deficient care; and prosthetic dentistry provides various treatment options to replace them.

The loss of a single tooth can lead to the compromise of other teeth and if left untreated can lead to permanent changes in facial appearance. Complete and partial dentures can replace either some or all of your natural teeth.

Modern dentures look like natural teeth and are more comfortable than their predecessors. The denture teeth we use are gender specific and are made from state of the art materials. Whether your denture base is made from gum colored plastic or biocompatible metal alloy, rest assured it will be as resistant to impact and offer the best fit as possible.

Aside from other health concerns, dentures prevent cosmetic changes that occur from tooth loss. Lesser teeth causes a condition called “collapsed bite” which changes a person’s face. Bite collapse causes the hollowing of a person’s cheeks, leading them to look tired or simply older.

The modern day working relationship of our Dental Technicians and Implant Dentists means you can have dentures that stay in place with a fully restored chewing ability and taste sensation and less denture base using various types of attachments.

VENEERS AND LUMINEERS

Porcelain dental veneers are thin, tooth-colored ceramic laminates which are bonded permanently to the facial surface of teeth. In most cases, only a very thin layer of the visible tooth structure has to be prepared. In comparison to a crown restoration. almost all tooth hard tissue will be spared.

Dental Veneers allow covering tooth spaces, correct misalignments or length differences. Veneers can be an excellent treatment option for patients seeking to improve the appearance of stains, chips, gaps, and a number of other perceived tooth imperfections

We are able to customize your porcelain veneers to resemble the look and feel of your natural teeth, all while providing you with highly durable and beautiful results.

Uniquely designed to match the shape and color of your natural teeth, porcelain dental veneers can be used to conceal a variety of tooth imperfections including:

  • Chips, cracks, and breaks
  • Stains and other discolorations
  • Gaps and alignment issues
  • Worn and disproportionate teeth

Veneers are designed to be maintained through routine oral cleaning habits, and they can last for decades!

Lumineers can be used in cases of minor misalign­ments, mild aesthetic corrections and moderate tooth discoloration. They can be as thin as contact lenses and are translucent. Therefore, they can improve the aesthetic appearance of teeth that look already moderately appealing. Due to this fact in some cases no preparation of the natural tooth is necessary to bond the lumineers permanently. Yet in cases where teeth demonstrate multiple fillings, wide gaps, trauma or severe discoloration, lab-fabricated ceramic veneers are indicated.

TEETH WHITENING

Bleaching

Whitening of teeth is performed for patients who desire a brighter smile. Tooth whitening can be performed to reduce discoloration and staining, or simply to provide the patient with whiter, brighter teeth.

Bleaching whitens your teeth gently and in a short amount of time by using active oxygen. It is an effective way to treat tooth staining and tooth discolouration quickly and effectively.

The whitening of your teeth takes about 90 to 120 minutes. During this time you can listen to music and relax.

BRIDAL AND FESTIVE PACKAGES

When it comes to looking your best on your wedding day or other festive occasions, don’t forget about your smile!

There are a variety of bridal packages available that can help you and your future spouse get your teeth looking their whitest and brightest. From bleaching to cleaning and polishing, there are a number of ways to ensure you have that camera ready smile in time!

We include customized smile design, cosmetic recontouring, composite and ceramic veneers or crowns in attractive packages to help you achieve your desired perfect looking teeth as well! These require additional time so make sure you plan an appointment earlier on with us to discuss all your options.

IMPLANT REHABILITATION

The best way to replace a missing tooth today is with a Dental Implant. This treatment has the highest success rate in dentistry today. Dental Implants also help in the retention and support of Dentures. They have been created to improve people’s quality of life.

Our patients report no pain during or after the procedure and the discomfort is so minimum that it does not usually interfere in your normal life routine. With today’s technology and evolution of CAD CAM and various biocompatible materials, we are able to use implants in diverse ways to not only restore single teeth but also provide support and retention of larger dentures and other facial structures. Visit us to know more!

VENEERS AND LUMINEERS

Porcelain dental veneers are thin, tooth-colored ceramic laminates which are bonded permanently to the facial surface of teeth. In most cases, only a very thin layer of the visible tooth structure has to be prepared. In comparison to a crown restoration. almost all tooth hard tissue will be spared.

Dental Veneers allow covering tooth spaces, correct misalignments or length differences. Veneers can be an excellent treatment option for patients seeking to improve the appearance of stains, chips, gaps, and a number of other perceived tooth imperfections

We are able to customize your porcelain veneers to resemble the look and feel of your natural teeth, all while providing you with highly durable and beautiful results.

Uniquely designed to match the shape and color of your natural teeth, porcelain dental veneers can be used to conceal a variety of tooth imperfections including:

  • Chips, cracks, and breaks
  • Stains and other discolorations
  • Gaps and alignment issues
  • Worn and disproportionate teeth

Veneers are designed to be maintained through routine oral cleaning habits, and they can last for decades!

Lumineers can be used in cases of minor misalign­ments, mild aesthetic corrections and moderate tooth discoloration. They can be as thin as contact lenses and are translucent. Therefore, they can improve the aesthetic appearance of teeth that look already moderately appealing. Due to this fact in some cases no preparation of the natural tooth is necessary to bond the lumineers permanently. Yet in cases where teeth demonstrate multiple fillings, wide gaps, trauma or severe discoloration, lab-fabricated ceramic veneers are indicated.

TEETH WHITENING

Bleaching

Whitening of teeth is performed for patients who desire a brighter smile. Tooth whitening can be performed to reduce discoloration and staining, or simply to provide the patient with whiter, brighter teeth.

Bleaching whitens your teeth gently and in a short amount of time by using active oxygen. It is an effective way to treat tooth staining and tooth discolouration quickly and effectively.

The whitening of your teeth takes about 90 to 120 minutes. During this time you can listen to music and relax.

BRIDAL AND FESTIVE PACKAGES

When it comes to looking your best on your wedding day or other festive occasions, don’t forget about your smile!

There are a variety of bridal packages available that can help you and your future spouse get your teeth looking their whitest and brightest. From bleaching to cleaning and polishing, there are a number of ways to ensure you have that camera ready smile in time!

We include customized smile design, cosmetic recontouring, composite and ceramic veneers or crowns in attractive packages to help you achieve your desired perfect looking teeth as well! These require additional time so make sure you plan an appointment earlier on with us to discuss all your options.

IMPLANT REHABILITATION

The best way to replace a missing tooth today is with a Dental Implant. This treatment has the highest success rate in dentistry today. Dental Implants also help in the retention and support of Dentures. They have been created to improve people’s quality of life.

Our patients report no pain during or after the procedure and the discomfort is so minimum that it does not usually interfere in your normal life routine. With today’s technology and evolution of CAD CAM and various biocompatible materials, we are able to use implants in diverse ways to not only restore single teeth but also provide support and retention of larger dentures and other facial structures. Visit us to know more!

ATRAUMATIC EXTRACTIONS

An atraumatic extraction causes the least amount of damage to surrounding tissue. This procedure came about because of the need to preserve bone during an extraction, primarily the all-important buccal plate. When this bone is destroyed, the socket collapses and compromises future implant placement, fixed crown-and-bridge esthetics, and the stability of removable prosthetics.

To be in control of the atraumatic extraction procedure, one must use instruments and techniques that give you the best overall advantage. Our resident Oral and Maxillofacial surgeon Dr Vikrant Prasad is a trained additionally in these techniques and is an expert at alleviating patient anxiety as well during these procedures.

Impacted teeth (partially or completely embedded in bone) are particularly common for most wisdom teeth which no longer have space or function in most of our jaws due to evolutionary shortening of dental jaw arches,

PEDIATRIC DENTAL CARE

We take care of your child’s dental hygiene and treatment with the utmost care. We understand how important it is for kids to have a positive experience regarding their teeth. We have a specialist pediatric dentist on call for the very same reason so treatments can be well informed and predictable.

Though some pain cannot be avoided, we make sure they are comfortable. We also guide parents how to care for their child’s teeth and gums, and they can choose the right toothpaste, toothbrush and fluoride products.

Preventive dental care for children is always our focus over only treatments and we encourage parents to bring their kids for regular dental checkups from an early age to encourage a positive dental attitude and a sense of responsibility for caring for their teeth.

Various preventive in office care like fluoride treatments and sealants are highly effective at preventing tooth decay before it starts and continues to pain and infection as well. Well planned dental care and awareness can help children develop good habits for the future. Visit us to know more!

ALIGNMENT OF TEETH

Crooked teeth can be hereditary, or they may occur due to an injury. Whatever the reason, there’s no need to worry – there are options available to help straighten your teeth and give you the smile you’ve always wanted.

With the help of an Orthodontist, or a braces specialist, alignment of teeth can be planned in conjunction with or without growth appliances that are useful from the young age of 9 years and can help guide jaw growth as well.

Teenagers and adults can also undergo alignment of teeth via various less visible and invisible options to achieve not only a perfect look, but a functional and effective bite that prevents premature tooth damage due to malalignment of teeth that was ignored before.

Braces are a type of dental appliance that gradually move teeth into the correct position. They are usually made of metal or ceramic, and are attached to the front or back of the teeth with brackets. Newer technology allows the use of Invisible aligner options as well, always under the treatment plan and supervision of a certified invisible braces specialist.

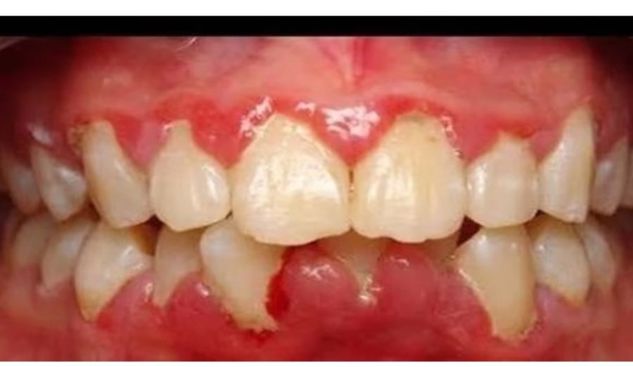
GUM PROCEDURES

Gum Disease and Periodontal Treatments in Pune - Prasad’s Dental Care

Periodontal disease is a form of gum disease that can lead to tooth loss and other serious health problems. It affects gums and bone that surround and support our teeth. Due to a fear of dentists and dental procedures, many patients avoid routine cleaning procedures, leading to tartar deposition and a chronic gum and periodontal inflammation. Such conditions can also be hereditary or medicine induced.

Ignoring periodontal health and avoiding requisite treatments can lead to premature tooth loss and future problems with any planned prosthetic replacement as well due to a compromise in the jawbone.

Gum specialists use a variety of treatments to prevent and treat periodontal disease. These treatments include scaling and root planing, periodontal surgery, bone grafting, and laser flap surgeries. They have received additional training in recognizing and treating various periodontal issues and are instrumental in restoring and saving remaining tooth and bone structure.

Laser Dentistry Treatment - Prasad’s Dental Care

LASER DENTISTRY

Our practice uses cutting edge technology such as laser dentistry to complete treatments. Traditional methods are regularly based on mechanical dental treatments in direct contact with the tissue.

Nowadays, the use of laser instruments permits treat­ments without direct contact to the tissue. Laser dentistry is a promising modality of treatment as it reduces the need for anesthesia and often shortens the time it takes for procedure sites to heal.

Sedation Dentistry patient under sedation mask - Prasad’s Dental Care

SEDATION DENTISTRY

The relationship we develop with our patients is based on listening, understanding, and caring for your needs. Independent of what you expect from your dental treatment, we always provide evi­dence-based dental treatment options. Applying methods that are adapted to your personal needs, we will find the most suitable solution for you.

We understand many people are afraid of the dentist and provide special therapy concepts for patients who are afraid of having dental treatment. We focus on your individual needs and offer you a detailed consultation. Together we will find the best treatment strategy for your needs.

Minimally Invasive Dentistry treatment tools - Prasad’s Dental Care

MINIMALLY INVASIVE DENTISTRY

Improvements in biomaterials (specially composites and ceramics) as well as dental adhesive technology allow long-term restorations with only minor prepa­ration of teeth. Minimally invasive restorative methods re­quire a high-level competence in treatment strategies and techniques.

Thanks to modern anesthetic methods and medication, treatment under general anesthesia is also a very safe option today and can be performed ambulant. Nor­mally, the patient can go home accompanied approximately one hour after surgery.

When is a treatment under general anesthetic indicated?

A treatment under general anesthetic is recommended when a patient has great fear of the dental treatments or in cases of extended surgical inter­ventions. An advantage of treatment under general anesthetic is that different treatment steps can be combined. Therefore, the number of nec­essary appointements can be reduced.

JOINT DISORDERS

Joint disorders of the mouth can cause a variety of symptoms; including pain, stiffness, clicking or popping sounds when moving the jaw, and difficulty opening or closing the mouth.

Treatment for joint disorders of the mouth will vary depending on the specific type and severity of the condition. In some cases, home remedies such as ice packs or over-the-counter pain medications may be enough to relieve symptoms.

However, more severe cases may require prescription medications, appliances fabricated by a prosthodontist or surgery. Since joint disorders of the mouth are usually approached conservatively at first, it is important to visit your dentist as soon as possible before the condition worsens.

POST CANCER TREATMENT AND PRE CANCER SCREENING

The strategy and techniques of rehabilitation of a head and neck cancer patient are directly related to the location of the cancer and to the extent and type of surgical intervention and radiation modalities used. Oral carcinomas not detected and evaluated in their early clinical stages usually invade adjacent structures, thereby setting the stage for extensive surgical procedures and generally followed by radiation therapy.

Removal of extensive segments of the tongue, floor of mouth, mandible, and hard and soft palate as well as the regional lymphatics usually mandates extensive rehabilitative management. Generally, maxillofacial prosthodontists restore maxillary resections with obturator prostheses.

However, in many instances a soft palate speech bulb-obturator retained in the maxillae (for restoration of velopharyngeal function) or a palatal augmentation prosthesis (if tongue function is lost) is required for optimal rehabilitation. Currently, rehabilitation of a maxillectomy and/or soft palate defect via an obturator prosthesis is most effective in restoring function.

Recent advances in microsvascular free flap tissue transfers have been used successfully to reconstruct composite defects of the mandible, buccal mucosa, and tongue.

Current rehabilitative practice is centered in five principles:

  1. The process of rehabilitation begins at time of initial diagnosis and interdisciplinary treatment planning with the oncologists and head and neck surgeons.
  2. The dentition should be preserved if possible.
  3. Rehabilitative treatment plans are be based on fundamental principles of prosthodontics, including a philosophy of preventive dentistry and conservative restorative dentistry.
  4. Surgery before prosthetic rehabilitation may be indicated to improve the existing anatomic configuration after ablative cancer surgery, reconstructive surgery, and/or radiation therapy.
  5. Multidisciplinary cancer care is required to achieve the best functional, physical, and psychologic outcomes.

The need to treat tumors expediently often delays planning for rehabilitation. However, without a highly interactive and dynamic dialogue among health care providers during the initial treatment planning process, efforts to provide optimal rehabilitative care are impaired.

Other health professionals-including social workers, vocational rehabilitation counselors, nurses, nutritionists, occupational therapists, physical therapists, speech pathologists, maxilo facial surgeons and prosthodontists -are also vital members of the team. Comprehensive rehabilitation is usually best managed in a medical center venue.

PANFACIAL TRAUMA TREATMENTS

Most pan facial fractures occur with concomitant injuries to other organs. Management of pan facial fractures is challenging and requires proper planning and sequencing along with adequate knowledge of its anatomy and management. Airway, breathing, circulation, disability and exposure (ABCDE) always remain the primary care in any trauma setting.

Maxillofacial surgeons play a key role in initial stabilization of fractures, control of local hemorrhage to facial areas and establishment of definitive airway in special situations. Definitive treatment is usually done after stabilization of the patient and systematic evaluation of all systemic injuries. Pan facial fractures demand a lot more planning towards their management.

FACIAL ESTHETIC TREATMENT

Jaw surgery or Orthognathic surgery is a part of Craniofacial and Plastic surgery where the bones of the upper or lower jaw or both are moved to either realign the position of teeth or improve the appearance of the face.

The main specialists involved in orthognathic surgery:

  • Plastic surgeon
  • Orthodontist
  • Maxillo facial surgeon
  • Speech pathologist

Common reasons to undergo Orthognathic surgery:

  1. To correct malocclusion of teeth – There are many types of malocclusion. It could be where the upper teeth are far ahead of lower teeth which are commonly referred to as ‘Overbite’. It could be where the lower teeth are far ahead of upper teeth which are commonly referred to as ‘Underbite’. There could be a gap between the upper and lower teeth which is commonly referred to as ‘Open bite’. When these are due to jaw misalignments and cannot be corrected by braces alone, they require surgical intervention.
  2. To improve the appearance of face – Most commonly people seek orthognathic surgery for facial deformities like ‘Dish face’ where the upper jaw is far behind the lower jaw, ‘Weak chin’ where the lower jaw is far behind the upper jaw, ‘Strong chin’ where the lower jaw is far ahead of the upper jaw causing a masculine appearance in a female patient etc.
  3. To improve the smile – People who have ‘Gummy smile’, ‘Excessive teeth show’ etc. also benefit from orthognathic surgery.
  4. Cleft lip and palate deformities – People with cleft lip and palate usually have a ‘Dish face’ deformity and benefit tremendously from orthognathic surgery.
  5. To improve snoring and sleep apnoea – People with snoring and sleep apnoea issues who have failed all previous medical and surgical management can potentially benefit from orthognathic surgery.